診療時間
診療時間
9:30-12:30
14:00-19:00
▲土曜の診療時間は9:00-12:30、14:00-18:00

休診日:日曜日

アクセス

〒107-0062東京都港区南青山2−12−15南青山2丁目ビル7F

SNS
03-6459-2711
IMPLANT

インプラントの症例写真

診療内容別症例

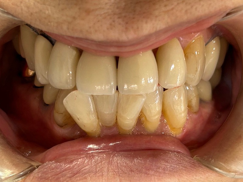
インプラントの症例写真

  • 術前 インプラント
  • 術後 インプラント
  • 正面
■施術名 : インプラント
■症例 : 歯の再建

担当医 : 久富 隆生

インプラントの症例写真

  • 術前 インプラント
  • 術後 インプラント
  • 正面
■施術名 : インプラント
■症例 : 歯の再建

担当医 : 久富 隆生

インプラントの症例写真

  • 術前 インプラント
  • 術後 インプラント
  • 正面
■施術名 : インプラント
■症例 : 歯の再建

担当医 : 久富 隆生

インプラントの症例写真

  • 術前 インプラント
  • 術後 インプラント
  • 正面
■施術名 : インプラント
■症例 : 歯の再建

担当医 : 久富 隆生

インプラントの症例写真

  • 術前 インプラント
  • 術後 インプラント
  • 正面
■施術名 : インプラント
■症例 : 歯の再建

担当医 : 久富 隆生

インプラントの症例写真

  • 術前 インプラント
  • 術後 インプラント
  • 正面
■施術名 : インプラント
■症例 : 歯の欠損

担当医 : 久富 隆生

インプラントの症例写真

  • 術前 インプラント
  • 術後 インプラント
  • 正面(1次オペ後)
■施術名 : インプラント
■症例 : 歯の再建

担当医 : 久富 隆生

インプラントの症例写真

  • 術前 インプラント
  • 術後 インプラント
  • 正面(1次オペ後)
■施術名 : インプラント
■症例 : 歯の再建

担当医 : 久富 隆生

インプラントの症例写真

  • 症例写真 インプラント 術前
  • 症例写真 インプラント 1次オペ後
  • 正面(1次オペ後)
■施術名 : インプラント
■症例 : 歯の再建

担当医 : 久富 隆生