南青山パーソン歯科
> 症例写真
診療内容別症例
最新の症例写真(ビフォーアフター)
当院の症例写真は、画像処理により形や大きさを変えるような処理は一切おこなっておりません。
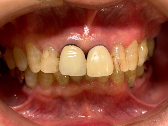
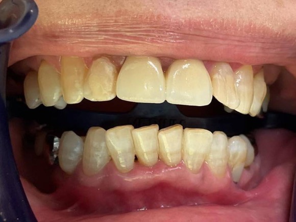
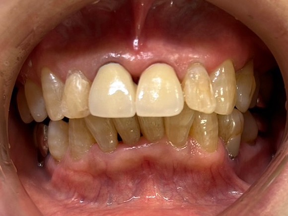
■治療方法 : インプラント
■治療説明 : インプラントはチタニウムで作られた人工歯根を顎に埋め込み、その上に上部構造と呼ばれる人工の歯冠部分を装着する人工の歯です。本物の歯と同じような自然な仕上がり、噛み合わせを得られるのが特徴です。
■治療費 : 1本 460,000円
■治療期間 : 3〜6ヶ月程度
■通院回数 : 6〜8回程度
■治療の副作用(リスク) : 下顎神経麻痺、 舌神経麻痺、上顎洞穿孔、上顎洞迷入、副鼻腔炎、咬合性外傷
■治療方法 : セラミック歯
■治療説明 : セラミック治療とは、セラミック材料で虫歯やケガなどにより欠けたり、失われたりした歯の形や噛み合わせなどを回復させる治療です。セラミックを使うと、自然で違和感のない仕上がりが得られるのが利点です。
■治療費 : 1本 50,000〜200,000円
■治療期間 : 1週間〜3ヶ月
■通院回数 : 2〜10回
■治療の副作用(リスク) : 歯髄炎:歯の神経が残っている場合に歯がしみること / 対合歯の破折:噛み合わせている歯が欠けること / 咬合性外傷:噛み合わせの力が強く加わり、歯周組織がダメージを受けること
■治療方法 : ホワイトニング
■治療説明 : ホワイトニングは薬剤で歯を漂白する処置です。ご自宅でするホームホワイトニング、歯科医院で受けるオフィスホワイトニングがあります。効果はホームホワイトニングが長持ち、オフィスホワイトニングが早いです。
■治療費 : 18,000〜30,000円
■治療期間 : オフィスホワイトニング:1日、ホームホワイトニング:使用頻度による(7回分)
■通院回数 : オフィスホワイトニング:1回、ホームホワイトニング:2回
■治療の副作用(リスク) : 知覚過敏、歯髄炎、歯の色むら、口内炎、歯肉炎
■治療方法 : レーザーによる上唇小帯切除術
■治療説明 : 上唇小帯のレーザー切除術は、主に上唇小帯の肥大症や付着異常などに対して行われる外科手術のひとつです。レーザーで切除するため、術後出血や疼痛を軽減できます。
■治療費 : 保険診療内:3割負担で約4,000円程度。小学生の場合は地域により負担金がない場合もあります。
■治療期間 : 1週間程度
■通院回数 : 2回程度
■治療の副作用(リスク) : 抗生剤、痛み止めをお出ししますので、副作用ほとんどありません。
■治療方法 : レーザーによる舌小帯切除術
■治療説明 : 舌小帯のレーザー切除術は、主に舌小帯の強直症や癒着症などに対して行われる外科手術のひとつです。レーザーで切除するため、術後出血や疼痛を軽減できます。
■治療費 : 保険診療内:3割負担で約4,000円程度
■治療期間 : 1週間程度
■通院回数 : 2回程度
■治療の副作用(リスク) : 抗生剤、痛み止めをお出ししますので、副作用ほとんどありません。
■治療方法 : 親知らずの抜歯
■治療説明 : 前歯から数えて8番目にある永久歯の第三大臼歯を「親知らず」といい、何らかの理由から上下左右で合計4本の歯を対象とした抜歯の治療です。
■治療費 : 保険診療内 ※生え方により費用が異なります。
■治療期間 : 2分〜20分程度 ※困難な生え方の場合は時間がかかるため、事前にご説明いたします。
■通院回数 : 1回 ※原則として1回の通院で1本の抜歯となります。
■治療の副作用(リスク) : 神経損傷のリスク。麻酔が切れると痛み、腫れは出ますが、通常、薬を飲めば緩和します。
■治療方法 : ヒアルロン酸注射
■治療説明 : ヒアルロン酸をほうれい線や口元の真皮に注入する処置です。
注入されたヒアルロン酸の体積により、皮膚のボリュームを増すことでシワを伸ばし、ほうれい線を目立ちにくくさせることができるほか、口元のハリやうるおいも回復できます。
■治療費 : 38,500〜48,400円
■治療期間 : 1日
■通院回数 : 1回 ※効果の持続には定期的な注入が必要
■治療の副作用(リスク) : ・皮下出血斑の形成
・腫脹や疼痛、発赤などの炎症反応
・一時的な違和感
・アレルギー反応
・ごくまれに血管塞栓の可能性
■ダウンタイム : 2〜3日程度
■術後の制限事項 : ・処置当日の飲酒制限
・処置当日の入浴制限(シャワー浴は可)
・処置後数日間のサウナ制限
・処置後数日間の運動制限
・処置後数日間の処置部位へのマッサージの制限
・処置後数日間の紫外線対策
■カウンセリング当日の治療 : 可能 ※ご予約時にご相談ください。
■入院の必要性 : なし
■治療方法 : CAD / CAM冠
■治療説明 : CAD / CAM冠とは、虫歯などにより欠けたり、失われたりした歯の形や噛み合わせなどを回復させる補綴物です。
■治療費 : 保険診療内
■治療期間 : 2週間程度
■通院回数 : 2回程度
■治療の副作用(リスク) : 歯髄炎:歯の神経が残っている場合に歯がしみること
■治療方法 : レーザーによる粘液嚢胞除去
■治療説明 : 炭酸ガスレーザーで粘液嚢胞の周囲粘膜を切開し、粘液嚢胞を切除する外科処置です。一般的なメスで行う方法と比べ、処置時間がたいへん短いうえ、術後出血のリスクもほとんどないなど、多くのメリットがあります。
■治療費 : 保険診療内:3割負担で約4,000円程度
■治療期間 : 1週間程度
■通院回数 : 2回程度
■治療の副作用(リスク) : 再発、皮下気腫、瘢痕形成


