診療時間
診療時間
9:30-12:30
14:00-19:00
▲土曜の診療時間は9:00-12:30、14:00-18:00

休診日:日曜日

アクセス

〒107-0062東京都港区南青山2−12−15南青山2丁目ビル7F

SNS
03-6459-2711
WHITENING

ホワイトニングの症例写真

診療内容別症例

ジルコニア前歯2本の症例写真

術前 ジルコニア
術後 ジルコニア

治療経過を見る

■症例 : 古い差し歯の交換 、 歯の黄ばみ

担当医 : 久富 隆生

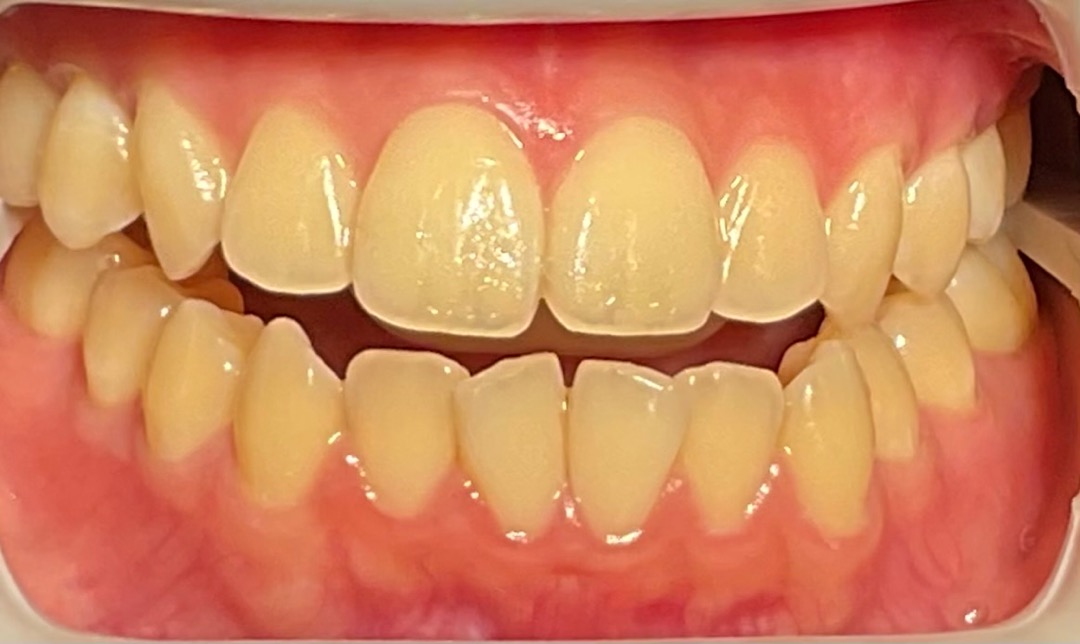
オフィスホワイトニングの症例写真

  • 術前 オフィスホワイトニング
  • 術後 オフィスホワイトニング
  • 正面
■施術名 : ホワイトニング
■症例 : 歯の黄ばみ

担当医 : 南堂 友里

オフィスホワイトニングの症例写真

  • 術前 オフィスホワイトニング
  • 術後 オフィスホワイトニング
  • 正面
■施術名 : ホワイトニング
■症例 : 歯の黄ばみ

担当医 : 久富 隆生

オフィスホワイトニングの症例写真

  • 術前 オフィスホワイトニング
  • 術後 オフィスホワイトニング
  • 正面
■施術名 : ホワイトニング
■症例 : 歯の黄ばみ

担当医 : 久富 隆生

オフィスホワイトニングの症例写真

  • 術前 オフィスホワイトニング
  • 術後 オフィスホワイトニング
  • 正面
■施術名 : ホワイトニング
■症例 : 歯の黄ばみ

担当医 : 久富 隆生

オフィスホワイトニングの症例写真

  • 術前 オフィスホワイトニング
  • 術後 オフィスホワイトニング
  • 正面
■施術名 : ホワイトニング
■症例 : 歯の黄ばみ

担当医 : 久富 隆生

ホワイトニングの症例写真

  • 術前 ホワイトニング
  • 術後 ホワイトニング
  • 正面
■施術名 : ホワイトニング
■症例 : 歯の黄ばみ

担当医 : 久富 隆生

ホワイトニングの症例写真

  • 術前 ホワイトニング
  • 術後 ホワイトニング
  • 正面
■施術名 : ホワイトニング
■症例 : 歯の黄ばみ

担当医 : 南堂 友里

ホワイトニングの症例写真

  • 術前 ホワイトニング
  • 術後 ホワイトニング
  • 正面
■施術名 : ホワイトニング
■症例 : 歯の黄ばみ

担当医 : 南堂 友里

ホワイトニングの症例写真

  • 術前 ホワイトニング
  • 術後 ホワイトニング
  • 正面
■施術名 : ホワイトニング
■症例 : 歯の黄ばみ

担当医 : 南堂 友里